Macular Pucker/ERM

What is a Macular Pucker?

A macular pucker, also known as an epiretinal membrane (ERM), is a thin layer of scar tissue that forms on the surface of the retina, specifically over the macula. The macula is the central part of the retina responsible for sharp, detailed vision needed for activities like reading, driving, and recognizing faces.

Causes

Macular puckers can develop for several reasons, including:

  • Aging: The most common cause, as the vitreous (the gel inside the eye) naturally shrinks and pulls on the retina over time.
  • Eye conditions: Such as retinal tears, retinal detachment, or inflammation.
  • Eye surgery or trauma: Previous eye procedures or injuries can increase the risk of developing an ERM.

Symptoms

Many patients with a macular pucker experience mild or no symptoms, especially in the early stages. When symptoms do occur, they may include:

  • Blurred or distorted central vision
  • Straight lines appearing wavy or bent
  • Difficulty seeing fine details
  • A gray or cloudy area in the central vision

Diagnosis

A macular pucker is diagnosed through a comprehensive eye examination. Your ophthalmologist may use:

  • Dilated eye exam: To view the retina and macula directly.
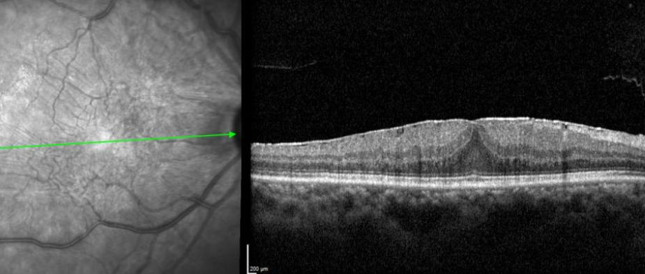
  • Optical coherence tomography (OCT): A non-invasive imaging test that provides detailed cross-sectional images of the retina, helping to assess the thickness and extent of the membrane.

Treatment

Not all macular puckers require treatment. Many patients maintain functional vision without intervention. Treatment considerations include:

  • Observation: If vision is mild and not significantly affecting daily activities, your doctor may recommend regular monitoring.
  • Surgery (Vitrectomy with membrane peel): For patients with significant visual distortion or decreased central vision, surgery can remove the epiretinal membrane. While surgery often improves vision, it may not restore perfect clarity, and recovery can take several weeks to months.

Outlook

The prognosis for patients with a macular pucker varies. Some individuals experience stable vision with minimal impact, while others may notice progressive visual distortion. Early detection and regular monitoring by your ophthalmologist can help preserve vision and determine the appropriate timing for treatment if needed.

Our Macular Pucker Specialists

Call Us at 603-668-2020 or Request an Appointment Online

Make A Payment Physician Referrals Cataract Self Test
Contact Us